Alternative Therapies
Joseph Turcotte is a Board Certified Naturopathic Doctor, (natural remedies and alternative therapies) and is currently working on his PhD in Holistic Nutrition. Dr. Joe maintains his standing as one of the top students in his class.
BRAIN ENTRAINMENT
Studies show that our culture's excessive and chronic stress problems may be to blame for the recent worldwide decline in health. The truth is, if you're living your life under the gun, you may be multiplying your risk for heart disease, stroke, obesity, and even some forms of cancer.
What's your best defense against this dangerous "super-stress"?
You already have that answer right between your ears!
The real question is: How do you get your mind to turn off the stress and turn on peak mental performance?
The answer is simple.
BRAIN ENTRAINMENT
In just a matter of minutes UNDO the damaging effects of stress while reducing or eliminating tension and worry. In fact, research shows evidence that regular use can help you gain more energy, lose excess weight, get rid of bad habits, instill new positive behaviors, and improve your quality of life.
Ask for FREE SAMPLE…
Go to sleep while you get all of this while laying on our NEWEST ADDITION OF THE Fir Infrared Mat that burns up your bad cells.
In just a matter of minutes, you will experience the true feeling of mental, emotional and physical R E L A X A T I O N!!!!
Your health is our #1 concern!
Photonic Botanical Therapy
It has been proven in hundreds of case studies that light photon energy is capable of carrying the harmonics or vibrational frequencies of the contents of any liquid through which it passes. Different light frequencies carry varying amounts of negative electron and harmonic energies with which they come in contact. The photonic botanical device acts as an 'energy transporter' to carry the photons, electrons and vibrational harmonics of the botanical liquid concentrates (bio-photonics) through which it passes and imparts those healing vibrational frequencies into the affected bodily areas resulting in immediate and often long-term positive results.
Using amplified light as a carrier wave to transport the harmonic signatures of negatively charged free electrons and 100% natural botanicals and amino acids results in near instantaneous and unquestionable results in a high percentage of cases.
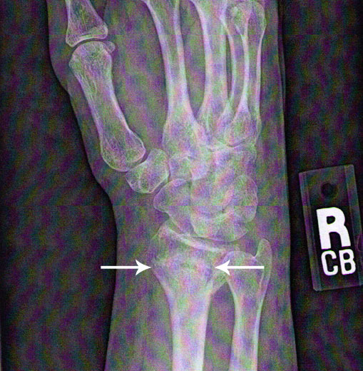
The images below show a wrist break and then after the use of photon light therapy and bone density repairing supplements. This occurred in less than one month.
Initial Break X-Ray

After Treatment at IWBW

Laser Therapy
Laser Therapy is painless, non-invasive and safe. Research studies, along with medical procedures currently being used, have shown that the red light of the LEDS increases energy inside the cells to accelerate healing. In fact, cells exposed to the LED light in these wave lengths have grown 150% to 200% faster than those not treated.
Interestingly enough, this technology was originally funded by NASA for projects involving plant growth. NASA realized that the red light from light emitting diodes increases the energy inside the cell. The LED’s fix the problem by stimulating the cell’s energy engine, the mitochondria.
Once this occurs, various chemical events take place to cause actual physiological improvement. New cell tissue is produced; bone tissue is demineralized, skin and blood tissue in the treated area is regenerated. Health begins to be restored.
Laser therapy has been known to speed healing, soothe sore muscles and chronic pain, relieve stiffness, and increase circulation. It also helps wounds and non-healing wounds to heal at an exceptional pace.
This safe alternative to drugs will amaze you with rapid effects!
Ionic Cleanse

Do you have chronic pain? Low energy? Headaches? Have you undergone chemo or radiation?
- Increased joint movement
- Joint pain relief from arthritis
- Better sleep
- A better well being
- Increased energy
A non-invasive cellular level cleanse that offers dramatic results right before your eyes.
Questions About Naturopathy & Homeopathy
The philosophy of naturopathy is that your food is your medicine and your medicine is your food. We will be expanding the web site to include more information concerning our services, but are always happy to answer your questions via email or phone.